心臓専門外来
中央動物医療センター循環器科では、犬と猫の心臓病(先天性心疾患、弁膜症、心筋症、および不整脈など)を対象とし、お薬を使って症状を抑え病気の進行を遅らせ、生活の質を保つことを目的とした内科的な管理を中心に診療を行っております。また外科手術がより適切だと判断された症例においては循環器専門二次診療施設と連携し対応を行っております。すぐに受診できるかかりつけの動物病院として、そして高い専門性を備えた循環器科として、日本獣医循環器学会の認定医が中心となり皆様の大切なご家族の心臓をサポートして参ります。


循環器科主任 細野敬人(日本獣医循環器学会認定医)
【経歴】
・麻布大学卒
・近畿動物医療研修センター循環器科研修医(2020年〜)
【所属学会】・日本獣医循環器学会
【学会発表履歴】・第115回日本獣医循環器学会
「血管内浸潤した甲状腺癌が前大静脈へ進展し右心房内に達した犬の1例」
・第117回日本獣医循環器学会
「大動脈弁尖とValsalva洞上縁の慢性的な接触により弁尖と大動脈壁の癒合を生じた大動脈二尖弁の猫の1例」
代表的な心臓病
わんちゃんの心臓病で最も多く、代表的な病気として僧帽弁閉鎖不全症があります。様々な原因により僧帽弁の機能が障害され、収縮期に血液が左心室から左心房へと逆流する疾患です。
加齢に伴う僧帽弁の粘液腫様変性に起因することが多く、どの犬種にも起こり得ますが高齢の小型犬種では特に注意が必要です。
症状
咳をする、疲れやすくなった、よく寝るようになったなどの症状から、重篤になると呼吸困難などの緊急性が高い症状がみられます。
検査
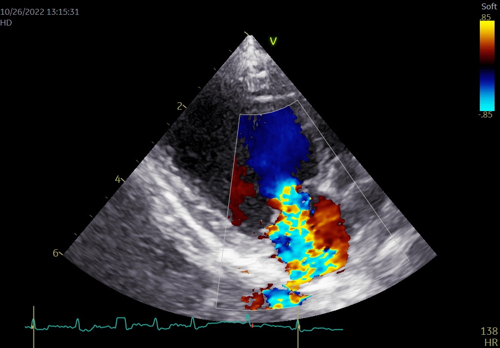
僧帽弁閉鎖不全症は、犬種特異性、特徴的な心雑音、胸部レントゲン検査などにより比較的容易に診断が可能ですが、心エコー図検査による逆流血流の検出、およびその程度や病態の把握、合併症などを明らかにすることで、確定診断と病態評価に基づいた治療を実施できるようになります。
- 僧帽弁の粘液腫様変性
- カラードプラによる僧帽弁逆流の確認
- 肺水腫(治療前)
- 肺水腫(治療後):肺(矢印)が白から黒へ改善

